您的位置:网站首页>新闻中心>

从“大概在那里”到“就在这里”!阿梵D一个案例带你看懂——肺结节手术为什么要做三维重建

发布时间:2026-02-10浏览量:12



从CT看像前端,不是舌段

那可能是做到次结节里了



旁边向前的是舌段支气管吗

上舌段的两个气管,向前的是B4b,向外侧的是B4a



不做三维重建真不行!



结节究竟更靠近哪个支气管?

它与支气管、血管的空间关系如何?

最佳的手术切入路径应该怎样设计?

对于靠近支气管、血管等关键解剖结构的结节

定位精度直接决定手术方案的安全性与有效性





术前精确分辨肺结节位置很“关键”


随着低剂量CT筛查的普及,越来越多的肺小结节被早期发现,其中直径≥8mm的结节因恶性风险较高,常需手术干预。

肺结节手术的核心挑战在于“精准”——既要完整切除病灶,又要最大程度保留健康肺组织。尤其在段切、亚段切等精准术式中,结节的确切位置、与周边血管、支气管的解剖关系直接决定手术方案的设计。

但临床实践中,许多肺结节尤其是深位、微小结节,在术中难以通过触诊或二维图像直接识别,术前定位不准可能导致结节遗漏、切缘不足,不仅延长手术时间、增加并发症风险,还可能损伤健康肺组织。





个案分享

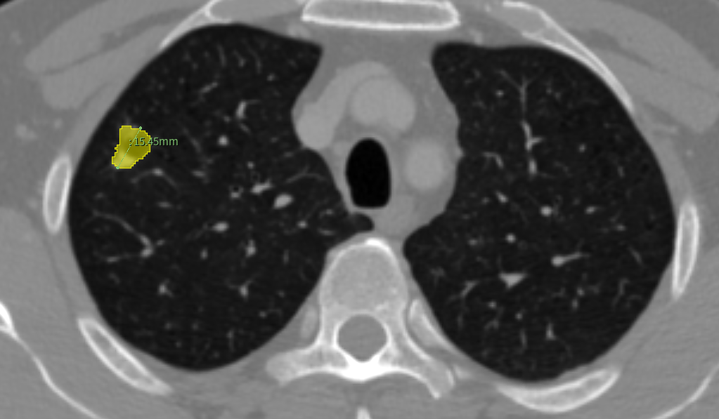
(CT扫描中,识别出1个结节)

患者的CT检查显示,结节直径1cm,靠近支气管。这一区域血管神经密集,传统二维影像只能呈现平面重叠图像,医生无法精准判断结节与两支支气管的空间位置关系,若贸然手术可能损伤气道或血管,导致气胸、出血等并发症,或因切除范围过大牺牲健康肺组织。




阿梵D——胸外CT三维重建结果

(三维重建中肺结节位置信息)

(三维重建肺动静脉预览)

(三维重建肺动静脉及肺段整体预览)

(肺段体积评估分析)

阿梵D三维重建后,患者肺部的支气管、血管、结节被转化为1:1还原的立体模型。医生通过旋转、放大模型,清晰看到结节与两支支气管的毗邻关系,基于这一精准可视化数据,医生可以快速制定方案。





阿梵D三维重建在肺结节切除中的意义


1.精准识别动静脉和支气管,特别是变异的血管和支气管;

2.在术前精准定位肺小结节所在肺段及具体位置;

3.术前知晓该肺段血管数量和走向,帮助判断术中需要离断的血管和需要保留的血管。

4.缩短手术时间,降低手术风险。有了精准的三维重建模型后不需要再去摸索血管的位置,有效降低了术中血管出血的状况,提高手术成功率。

5.进行术前规划,临床医师可进行精准切除,保留更多的肺功能,让患者在日后有更好的生活品质。

6.方便医患沟通,精准还原的肺组织三维可视化影像,让医生与患者更直观理解病灶情况及手术方案。





阿梵D三维重建的核心优势  


结果更快——全科三维重建快速交付,满足临床即时需求

自主原研——与中科院联合研发,拥有完整知识产权,技术持续领先

贴合临床——携手权威临床专家开发,深度契合中国临床实际与学术前沿

科技赋能——AI大模型驱动软件不断迭代升级,提升处理准确率与效率

精准智能——AI加人工三道审核确保0失误,并能解决临床疑难需求

更个性化——提供定制化三维重建与手术规划,真正解决临床核心痛点

学术品牌——依托院士团队与临床专家团队,打造三维重建领域卓越学术品牌

让手术更精准,让患者更好生活






梵晨博生医药集团-旗下华医MedAI精准医疗公司

&中科院软件所联合出品

阿梵D——三维重建医学图像处理软件

-关注我们-

扫码关注

官方公众号

扫码关注

官方视频号

扫码关注

官方抖音

扫码关注

官方快手

扫码关注

官方微博

扫码关注

官方小红书



热门新闻