您的位置:网站首页>新闻中心>

“误诊”只在”毫厘”之间!阿梵D三维重建:让肺动静脉及肺段清晰可见

发布时间:2025-10-17浏览量:707

CT肺结节三维重建,它是通过对肺部进行多层扫描,然后利用计算机软件构建出肺结节的三维模型。它可以帮我们从三个方向去观察肺结节:横断面、冠状面(正面)、矢状面(侧面)。

大家平时看到的肺部CT显示的是人体的横截面,它虽然可以帮我们清楚地看到肺部病灶,但却无法立体显示肺结节与肺动脉、静脉及支气管的关系,而这些立体空间解剖结构,凭借人的想象力是很难清晰刻画的。



差之毫厘,谬以千里!


人的肺部血管和支气管可能存在变异(比如多分一支或少分一支)。三维重建能提前发现这些变异,避免手术中误伤重要结构。曾有研究显示,三维重建使血管误伤率降低60%。

由于心脏偏左,右肺动脉较左肺动脉粗且长。右肺动脉从肺动脉干分出后,进入右肺门并分为多个分支。

后升支动脉通常作为右肺上叶动脉的分支,向上后方延伸,穿过肺实质,主要分布于右上肺叶的后段,其解剖位置和功能对肺部疾病的诊治具有重要意义。在肺叶切除或胸腔镜手术中,需精准识别并保护该动脉,避免术中出血。



个案分享:术前三维重建的必要性


患者,性别男,CT检查发现右肺上叶前段大小约1.5cmx1.2cm的结节,该患者在术中医生看到后升支动脉和背段动脉在一起,认为是一支动脉,但总感觉不对劲,重新查看了三维重建结果对照发现确实存在动脉变异,从而避免了误断背段动脉的风险


医生感叹:术前三维重建是有用的!


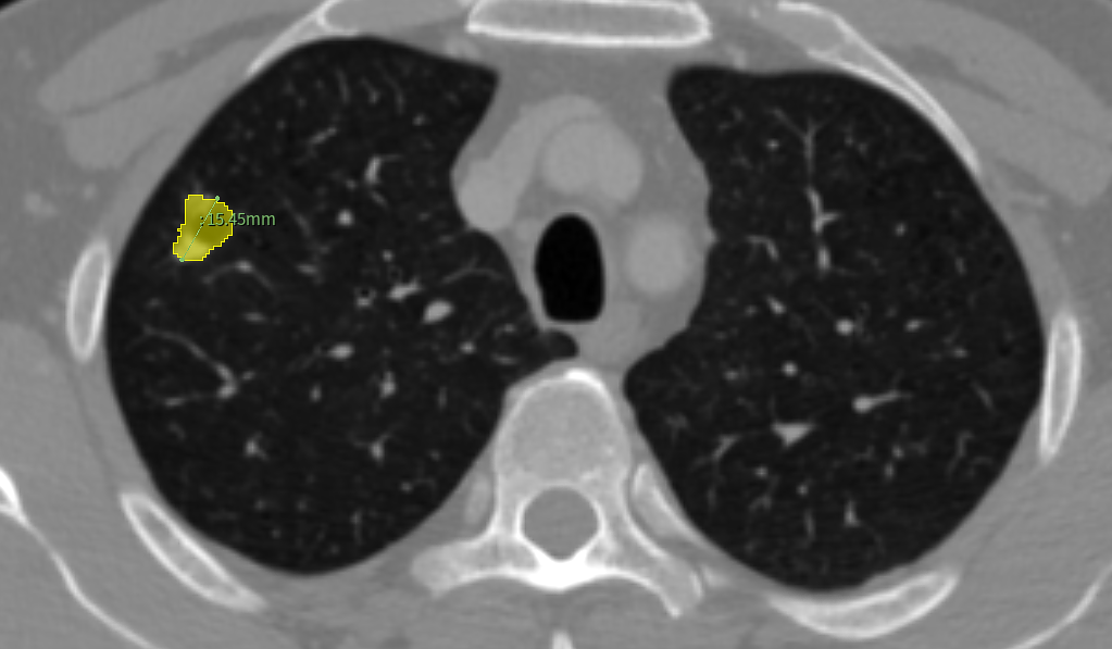
阿梵D——胸外CT三维重建结果

↑CT扫描中,识别出1个结节(约1.5cmx1.2cm)

↑三维重建中肺结节位置信息

↑三维重建肺动静脉预览

↑三维重建肺动静脉及肺段整体预览

阿梵D可显示7-8级脉管

更直观的显示肺动脉流域

消除由于分段不准确造成的切除范围误导

减少分段误差,确保精细准确的手术规划

↑肺段体积评估分析



阿梵D三维重建在肺结节切除中的意义


1.精准识别动静脉和支气管,特别是变异的血管和支气管;

2.在术前精准定位肺小结节所在肺段及具体位置;

3.术前知晓该肺段血管数量和走向,帮助判断术中需要离断的血管和需要保留的血管。

4.缩短手术时间,降低手术风险。有了精准的三维重建模型后不需要再去摸索血管的位置,有效降低了术中血管出血的状况,提高手术成功率。

5.进行术前规划,临床医师可进行精准切除,保留更多的肺功能,让患者在日后有更好的生活品质。

6.方便医患沟通,精准还原的肺组织三维可视化影像,让医生与患者更直观理解病灶情况及手术方案。



三维重建应用于肺结节切除的临床共识


《肺结节多学科微创诊疗中国专家共识》:通过计算机软件快速准确地将患者的CT影像重建为3D图像,通过可穿戴式虚拟现实设备,向术者直观地展示血支气管肺组织和结节的相对位置,精确测量距离,显示肺段解剖边界,辅助勾画手术切缘。

《人工智能一体化三维重建应用于胸外科的中国专家共识》:三维重建技术可更加全面地评估肺结节的影像学特征,推荐使用三维重建技术对肺结节性质进行辅助判定。建议准备行亚肺叶切除手术的患者术前行三维重建,帮助完善术前规划,包括肺楔形切除术(结节位置偏深者)、肺段切除术、联合亚段切除术等。

《肺结节(≤2cm)楔形切除胸外科全国专家共识(2023版)》:非优势位置的肺楔形切除,应充分做好术前规划,如有条件,可依据三维重建等技术支持,更有利于患者术后快速恢复。



截至目前,只有“阿梵D”实现

肺动静脉血管AI全自动分割


阿梵D重磅临床研究项目——Self-adaptive Vision-Language Model for 3D Segmentation of Pulmonary Artery and Vein《用于肺动脉和静脉三维分割的自适应视觉语言模型》即将亮相医学图像顶会MICCAI。



如何进行CT肺结节三维重建?


患者首先需要进行胸部CT扫描

运用阿梵D-三维重建医学图像处理软件进行处理

最终生成三维图像



哪类人群需要进行CT肺结节三维分析?


1.健康查体发现肺结节的人群。

2.肺癌高危人群:长期吸烟、家族肺癌史、职业暴露(如石棉、粉尘)等。

3.即将接受肺结节手术,术前规划患者:医生可通过三维模型制定个性化手术方案。

*部分图片来源于网络

让手术更精准,让患者更好生活






梵晨博生医药集团-旗下华医MedAI精准医疗公司

&中科院软件所联合出品

阿梵D——三维重建医学图像处理软件


热门新闻