您的位置:网站首页>新闻中心>

不怕肿瘤藏得深!阿梵D三维重建技术:在复杂肾肿瘤手术中的应用

发布时间:2025-11-06浏览量:447

泌尿系统的主力器官是肾脏

是一对位于人体内的豆状器官

位于第12胸椎和第3腰椎之间,沿脊柱排列

在成人体内大约长12厘米,宽6厘米,厚3厘米

由于受到肝脏的挤压,右肾的位置比左肾稍低

肾细胞癌(RCC)是成年人中最常见的恶性肾脏肿瘤,占成人肾脏恶性肿瘤的80%~90%。常被称为“沉默的”癌症,因为在肿瘤长到相当大之前,症状不易被察觉。

肾癌的首选治疗方式为肾部分切除术。鉴于肾部分切除术的复杂性,围手术期出现出血或尿瘘的风险相对较高。术前全面且细致了解肾肿瘤及其相关结构的解剖学信息具有关键意义,能够为手术规划提供重要支撑。

三维重建下的肾脏及其相邻脏器



阿梵D-三维重建可获取的数据及意义


更直观展示病灶与周边脉管的关系,泌尿系统动静脉,及手术切除方案,便于医患沟通。

准确划分常规或异常分布的脉管、肾段等,精准还原肾脏组织的三维可视化影像,个性化定制手术方案。

呈现立体形态的肾盂肾盏和“血管树“及相互关系,能有效降低术中出血风险,提高手术成功率。

自动生成病灶、器官、脉管等相关数据,自动计算剩余脏器的体积、百分比。有助于术前规划,术中的精准切除,能为患者保留更多肾功能,让患者在日后有更好的生活品质。



个案分享:肾肿瘤切除术前三维重建


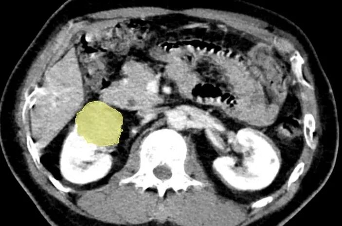
基本信息:患者右肾见约39*36mm肿瘤,考虑肾癌可能;两肾多发囊肿,左肾上腺内侧支结节,考虑腺瘤可能。

患者肾肿瘤切除手术的难度:主要在于肿瘤生长在肾窦内,靠近肾门部,位于最复杂的肾脏核心区域,周围被肾脏动静脉及集合系统包绕,任何周围组织的损伤很有可能造成手术失败,并且肾门部背侧肾脏正常组织较少,缝合难度大,术后易出现出血、漏尿等并发症。术前运用阿梵D三维重建技术详细评估肿瘤与肾脏各分支血管的解剖关系,全方位评估手术风险。


术前阿梵D——泌尿系统三维重建结果

CT扫描中,识别出7个病灶

其中最大肾肿瘤(约39*36mm)

三维重建中病灶位置信息

三维重建泌尿系统动静脉预览

三维重建泌尿系统整体预览



《三维重建应用于肾脏肿瘤外科手术专家共识》


建议有条件的医疗单位可以利用三维重建技术对肾脏进行进一步精准评估,特别是在保留肾功能的手术中。三维重建可辅助手术规划设计,通过三维重建,可以提供更多关于肿瘤的信息,包括肿瘤边界整体形态、血液供应情况以及与肾血管的关系。

三维重建是一种更加精准的技术,可帮助外科医生以最小切缘切除肿瘤,更安全地完成手术。

对于复杂肾肿瘤的保留肾单位手术以及普通影像预估血管解剖关系复杂的肾肿瘤,建议术前三维重建评估

对于肾脏外科手术的处于学习阶段的医生,术前三维重建可以缩短其学习曲线。在条件允许情况下,学习曲线阶段尽量行术前三维重建来缩短学习曲线,减少手术风险

针对高风险肾脏手术,建议使用术前三维重建来帮助患者更好地理解手术过程及可能的风险,有助于医患之间的沟通交流


*部分图片来源于网络

让手术更精准,让患者更好生活






梵晨博生医药集团-旗下华医MedAI精准医疗公司

&中科院软件所联合出品

阿梵D——三维重建医学图像处理软件

-关注我们-

扫码关注

官方公众号

扫码关注

官方视频号

扫码关注

官方抖音

扫码关注

官方快手

扫码关注

官方微博

扫码关注

官方小红书


热门新闻