您的位置:网站首页>新闻中心>

头颈三维重建很必要!阿梵D三维重建技术:在头颈肿瘤中的应用

发布时间:2025-11-06浏览量:433

头颈肿瘤作为全球第六大高发肿瘤

在所有恶性肿瘤中占比约10%

每年全球确诊新发病例超过60万


头颈肿瘤并非如肺癌、肝癌一样特指某种肿瘤,而是一大类肿瘤的统称,包括颈部肿瘤、耳鼻喉科肿瘤以及口腔颌面部肿瘤三大部分。

将头颈肿瘤拆解来看,我们可得到口腔癌、咽喉癌、鼻咽癌、甲状腺癌等常见癌种,且还可细分,如口腔癌可分为舌癌、牙龈癌、唇癌、口底癌、颊粘膜癌等,咽喉癌包括喉癌、下咽癌、口咽癌等,另还有唾液腺肿瘤如腮腺、颌下腺、舌下腺部位的肿瘤等。

从拆解的结果来看,其涉及的头颈部解剖结构十分复杂,部位众多。因而肿瘤侵犯容易直接影响患者外观及呼吸、发声、咀嚼、吞咽等功能,极大地影响患者生活、工作与社交。

由于头颈肿瘤所具备的复杂性及原发位置的特殊性,在诊断与检查时往往不能由单一或简单手段完成。

头颈肿瘤早期治疗以外科手术为主,即将肿瘤原发灶进行扩大切除,并于必要时行颈部淋巴结清扫,减小复发和转移风险。如颅底、下咽、喉等部位手术需精细分离血管神经,避免术中大出血或神经损伤。例如,颈动脉受侵可能导致致命性出血,而喉返神经损伤可引发声带麻痹



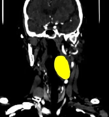
案例:颈部肿瘤切除 术前阿梵D三维重建


CT扫描中,识别出1个病灶-肿瘤

(根据CT图像,重建了肿瘤、动脉、静脉、大脑、小脑、甲状腺、骨骼、气管、神经等模型)

三维重建中病灶位置信息

三维重建头颈系统动静脉整体预览

三维重头颈系统整体预览

头颈病灶切除分析



阿梵D三维重建 在头颈肿瘤手术中的应用


术前规划:

安全切缘分析:透明化显示病灶与周围组织关系,明确安全切缘。

组织血管识别:可清晰呈现7-8级细微血管结构,提前发现颈内动脉、椎动脉等变异,避免术中大出血;

手术模拟:手术流程模拟,切除组织量化分析,流体力学分析。

术中导航:

三维数据可视化引导:可引导医生避开颈动脉鞘,减少出血风险。

术后评估:

参数分析:术前术后对比,进行数据分析;

复发预测:三维模型可量化肿瘤体积变化,辅助早期发现复发。


*部分图片来源于网络

让手术更精准,让患者更好生活






梵晨博生医药集团-旗下华医MedAI精准医疗公司

&中科院软件所联合出品

阿梵D——三维重建医学图像处理软件

-关注我们-

扫码关注

官方公众号

扫码关注

官方视频号

扫码关注

官方抖音

扫码关注

官方快手

扫码关注

官方微博

扫码关注

官方小红书


热门新闻